
牛皮癣需要如何检查和确诊具体病情?得了牛皮癣患者不是担心传染问题就是遗传问题,其实对于牛皮癣患者而言是需要放松自己精神压力的,因为患者的精神压力也是可以影响到患者治疗康复效果的,另外对于牛皮癣建议患者能够正确的选择治疗方法,要多了解一些常识,以便能够增强自己的治疗信心,只有这样才能够帮助牛皮癣患者更好的对抗自己的顽疾。
牛皮癣的确诊需结合临床表现、体格检查及辅助检查综合分析。典型表现为边界清晰的红斑、覆盖银白色鳞屑,可能伴瘙痒、关节疼痛等。医生通过观察皮损特征,必要时结合皮肤镜、病理活检排除类似疾病,最终确诊。
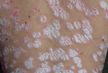
一、临床表现与体格检查
银屑病的诊断通常始于医生对皮肤症状的观察和触诊:
典型皮损特征:红斑基底上覆盖多层银白色鳞屑,刮除鳞屑后可见薄膜现象(“蜡滴现象”)和点状出血(Auspitz征)。
分布特点:好发于头皮、肘部、膝盖、腰骶部等摩擦部位,部分患者甲板出现点状凹陷或增厚。
伴随症状:约30%患者可能出现关节肿痛(银屑病关节炎),少数伴有全身症状如发热、乏力等。
二、辅助检查方法
若症状不典型或需排除其他疾病,医生会建议以下检查:
皮肤镜检查:通过光学放大观察皮损细节,银屑病常表现为均匀分布的红色背景、白色鳞屑及点状血管。
组织病理学检查(皮肤活检):取小块皮损组织进行显微镜分析,若发现角化不全、Munro微脓肿(中性粒细胞聚集)等特征,可明确诊断。
实验室检查:血常规、C反应蛋白等用于评估炎症程度;类风湿因子、抗核抗体检测可鉴别关节炎类型。
牛皮癣需要如何检查和确诊具体病情?对于牛皮癣的种种危害需要患者重视起来,但是也不要过于担心,不要形成自己的一种生活负担和压力。事实上,牛皮癣虽然是比较严重的,但是只要患者能够正确的去治疗,牛皮癣还是可以得到很好康复治愈的,所以患者主要的还是选择专业正规的医院和科学的方法去正确的治疗。